아쿠아 블레이션(워터젯 로봇 수술)이란?

실시간 내시경과 초음파를 통한 정확한 사전설계, 밀리미터 단위로 조절되는 정밀한 고수압 워터젯을 이용해 비정상적으로 비대해진 전립선 조직을 정확하게 절제하는 수술법입니다.

(2017년 미FDA승인, 2022년 보건복지부 신의료기술)


아쿠아 블레이션 (워터젯 로봇 수술)이란?

실시간 내시경과 초음파를 통한 정확한 사전설계, 밀리미터 단위로 조절되는 정밀한 고수압 워터젯을 이용해 비정상적으로 비대해진 전립선 조직을 정확하게 절제하는 수술법입니다.

(2017년 미FDA승인, 2022년 보건복지부 신의료기술)


아쿠아 블레이션 수술 과정


초음파와 내시경을 동시에 실시간으로 확인하며 절제할 조직과 보존할 조직을 정확히 설계

설계에 맞춰 정확하게 고수압 워터젯을 분사하여 비대조직을 제거

출혈 부위를 지혈하고 절제 범위를 면밀히 확인한 뒤 수술 마무리

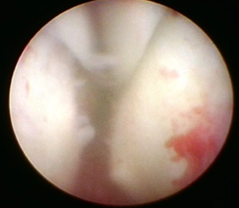
수술 전 후 전립선 요도


수술 전 비대조직으로 막힌 전립선요도

수술 후 3개월 뒤 잘 열린 전립선요도

수술 전 막혀있는 전립선 초음파 소견

수술 후 잘 열린 전립선 초음파 소견

아쿠아 블레이션 수술 과정


초음파와 내시경을 동시에 실시간으로 확인하며 절제할 조직과 보존할 조직을 정확히 설계

설계에 맞춰 정확하게 고수압 워터젯을 분사하여 비대조직을 제거

출혈 부위를 지혈하고 절제 범위를 면밀히 확인한 뒤 수술 마무리 

01. 열손상 없는 워터젯 절제


가열 방식 절제(레이저, 플라즈마, 전기 소작) 방식은 열손상과 함께 다음과 같은 문제를 일으킬 수 있습니다.


- 불규칙한 조직 절제 깊이

- 수술 범위 이상의 괴사 발생

- 수술 중 전립선 정상 조직(캡슐) 손상

- 신경 다발 손상으로 인한 성기능 저하

- 수술 후 회복 지연


아쿠아블레이션은 열충격 없는 고속 워터젯 절제 방식으로 균일한 절제, 정상 조직 보존, 성기능 보존, 빠른 회복을 가능하게 합니다.

02. 짧은 수술 시간, 안전한 수술


기존의 절제술 대비 압도적으로 빠른 절제와 짧은 수술 시간으로 환자의 부담을 최소화하였습니다.

아쿠아블레이션이 TURP에 비해 압도적으로 짧은 절제 시간을 보이고 있다. (파랑: 아쿠아블레이션의 절제시간, 주황 : TURP의 절제시간, 출처: WATER I & WATER II vs TURP, data from PROCEPT Biorobotics)

03. 탁월한 사정기능 보존


아쿠아블레이션은 사정기능 보존을 위한 나비상절제(butterfly cut)를 통해 사정기능을 보존하는 특수한 설계 방식을 사용합니다. 이를 통해 기존 절제술로는 대부분 포기해야했던 80cc 이상 거대 전립선 비대증에서의 사정 기능 보존 확률을 비약적으로 향상시켰습니다. 그 결과 30-80cc에서는 약 93%, 80-150cc의 거대 전립선에서는 85% 정도의 높은 사정 기능 보존 확률을 보였습니다.

아쿠아블레이션은 80-150cc의 거대전립선에서도 85%의 탁월한 사정기능 보존력을 보였다.

1. Gilling, P, et al. Three-Year Outcomes after Aquablation Therapy Compared to TURP: Results from a Blinded Randomized Trial. Can J Urol. 2020 Feb;27(1):10072-10079.

2. Desai, M, et al. Aquablation for benign prostatic hyperplasia in large prostates (80-150cc): 2-year results.  Can J Urol. 27(2); April 2020.

3. Bach, et al. First Multi-Center All-Comers Study for the Aquablation Procedure. J Clin Med. 2020 Feb; 9(2): 603.

04. 낮은 요실금 위험 


아쿠아블레이션은 수술 후 비가역적인 합병증의 발생을 비약적으로 줄여 그 안전성을 인정받았습니다. 발기부전, 역행성 사정 뿐 아니라 기존의 탈핵술 시행 후 상당수에서 나타났던 손상에 의한 요실금의 위험을 크게 줄여 안심하고 수술적 치료를 받을 수 있게 되었습니다.

05. 모든 크기, 모양의 전립선에 탁월한 효과


아쿠아블레이션은 크기에 관계없이, 비대조직의 모양에 관계없이 수술적 치료가 가능합니다. 중엽비대가 심하거나 방광경부거상이 심한 경우 일부 수술 방식으로는 효과가 제한적이어서 적용이 어려웠다면, 아쿠아블레이션은 모든 양상의 전립선 비대증에 적용이 가능합니다.

왜 베스트인가?


아쿠아블레이션의 효과를 극대화하기 위해서는 설계와 마무리가 중요합니다

서울 베스트 비뇨의학과의 풍부한 아쿠아블레이션 경험은 누구도 따라올 수 없습니다.

(2024년 9월, 소속 의료진 전체 집도 횟수 기준 국내 최대)

의사를 가르치는 의사, 풍부한 경험의 집도의가 직접 수술합니다

수차례 유관 학회에서 아쿠아블레이션에 대해 강의한 의료진이 직접 수술을 집도합니다.

서울베스트 비뇨의학과 오시는 길


반갑습니다. 서울베스트 비뇨의학과입니다.

서울대 출신 최고의 의료진이

최선을 다해 진료하도록 하겠습니다.

주저하지 마시고 문의주세요.

서울베스트가 도와드리겠습니다.

오시는 길

대표 번호 : 02-6958-7532

팩스 번호 : 02-6958-7562

병원 주소 : 서울특별시 강남구 봉은사로 230, 봉암빌딩 5층

메일 주소 : info@snubest.kr

수술 전 후 전립선 요도


수술 전 비대조직으로 막힌 전립선요도


수술 후 3개월 뒤 잘 열린 전립선요도

 

수술 전 막혀있는 전립선 초음파 소견


수술 후 잘 열린 전립선 초음파 소견


01. 열손상 없는 워터젯 절제


가열 방식 절제(레이저, 플라즈마, 전기 소작) 방식은 열손상과 함께 다음과 같은 문제를 일으킬 수 있습니다.


1. 불규칙한 조직 절제 깊이

2. 수술 범위 이상의 괴사 발생

3. 수술 중 전립선 정상 조직(캡슐) 손상

4. 신경 다발 손상으로 인한 성기능 저하

5. 수술 후 회복 지연

아쿠아 블레이션은 열충격 없는 고속 워터젯 절제 방식으로 균일한 절제, 정상 조직 보존, 성기능 보존, 빠른 회복을 가능하게 합니다. 

02. 짧은 수술 시간, 안전한 수술


기존의 절제술 대비 압도적으로 빠른 절제와 짧은 수술 시간으로 환자의 부담을 최소화하였습니다. 

아쿠아블레이션이 TURP에 비해 압도적으로 짧은 절제 시간을 보이고 있다.

(파랑: 아쿠아블레이션의 절제시간, 주황 : TURP의 절제시간, 출처: WATER I & WATER II vs TURP, data from PROCEPT Biorobotics)

03. 탁월한 사정기능 보존


아쿠아블레이션은 사정기능 보존을 위한 나비상절제(butterfly cut)를 통해 사정기능을 보존하는 특수한 설계 방식을 사용합니다. 이를 통해 기존 절제술로는 대부분 포기해야했던 80cc 이상 거대 전립선 비대증에서의 사정 기능 보존 확률을 비약적으로 향상시켰습니다. 그 결과 30-80cc에서는 약 93%, 80-150cc의 거대 전립선에서는 85% 정도의 높은 사정 기능 보존 확률을 보였습니다.

아쿠아블레이션은 80-150cc의 거대전립선에서도 85%의 탁월한 사정기능 보존력을 보였다.

1. Gilling, P, et al. Three-Year Outcomes after Aquablation Therapy Compared to TURP: Results from a Blinded Randomized Trial. Can J Urol. 2020 Feb;27(1):10072-10079.

2. Desai, M, et al. Aquablation for benign prostatic hyperplasia in large prostates (80-150cc): 2-year results.  Can J Urol. 27(2); April 2020.

3. Bach, et al. First Multi-Center All-Comers Study for the Aquablation Procedure. J Clin Med. 2020 Feb; 9(2): 603.

04. 낮은 요실금 위험


아쿠아 블레이션은 수술 후 비가역적인 합병증의 발생을 비약적으로 줄여 그 안전성을 인정받았습니다. 발기부전, 역행성 사정 뿐 아니라 기존의 탈핵술 시행 후 상당수에서 나타났던 손상에 의한 요실금의 위험을 크게 줄여 안심하고 수술적 치료를 받을 수 있게 되었습니다. 

05. 모든 크기, 모양의 전립선에 탁월한 효과


아쿠아블레이션은 크기에 관계없이, 비대조직의 모양에 관계없이 수술적 치료가 가능합니다. 중엽비대가 심하거나 방광경부거상이 심한 경우 일부 수술 방식으로는 효과가 제한적이어서 적용이 어려웠다면, 아쿠아블레이션은 모든 양상의 전립선 비대증에 적용이 가능합니다.

왜 베스트인가?


아쿠아 블레이션의 효과를 극대화하기 위해서는 설계와 마무리가 중요합니다.

서울 베스트 비뇨의학과의 풍부한 아쿠아블레이션 경험은 누구도 따라올 수 없습니다.

(2024년 9월, 소속 의료진 전체 집도 횟수 기준 국내 최대)

의사를 가르치는 의사, 풍부한 경험의 집도의가 직접 수술합니다.

수차례 유관 학회에서 아쿠아블레이션에 대해 강의한 의료진이 직접 수술을 집도합니다.

서울베스트 비뇨의학과 오시는 길

반갑습니다. 서울베스트 비뇨의학과입니다.

서울대 출신 최고의 의료진이 최선을 다해 진료하도록 하겠습니다. 주저하지 마시고 문의주세요.


서울베스트가 도와드리겠습니다.

오시는 길


대표 번호 : 02-6958-7532

팩스 번호 : 02-6958-7562

병원 주소 : 서울특별시 강남구 봉은사로 230, 봉암빌딩 5층

메일 주소 : info@snubest.kr

사업자등록번호 : 898-03-03536     대표자 : 유상현

주소 : 서울특별시 강남구 봉은사로 230, 봉암빌딩 5층 501호

대표 번호 : 02-6958-7532

Copyright (C) 서울베스트비뇨의학과의원. All Rights Reserved.

사업자등록번호 : 898-03-03536     대표자 : 유상현

주소 : 서울특별시 강남구 봉은사로 230, 봉암빌딩 5층 501호 대표 번호 : 02-6958-7532

Copyright (C) 서울베스트비뇨의학과의원. All Rights Reserved.